Tratamento Cirúrgico de fratura do fêmur proximal
Os ossos têm papel fundamental em nosso corpo. Eles servem de suporte para os tecidos moles e protegem nossos órgãos vitais, como o cérebro e o coração. Dentre eles, se destaca o fêmur. Assim como muitos outros ossos longos, ele proporciona o apoio aos músculos da coxa, e transforma as suas contrações em movimentos úteis para o nosso dia a dia, para realizar tarefas simples, como correr e sentar.
Há alguns anos atrás, qualquer fratura associada a este osso era tratada com gesso. Contudo, a medicina evoluiu nesse aspecto, e atualmente, a correção cirúrgica da fratura está sendo utilizada.
Vale ainda salientar que nossos tecidos ósseos vivem em constante modelação. Dessa forma, ossos como o do fêmur possuem certa flexibilidade e podem absorver alguns impactos. Contudo, à medida que vamos envelhecendo, eles se tornam mais frágeis e a fratura associada é cada vez mais comum.
Mas afinal, como funciona a cirurgia para fraturas do fêmur proximal? Vamos primeiro entender os fatores de risco associados.
Fatores de risco para fraturas no fêmur
Todos os ossos do corpo humano atingem seu pico de densidade mineral aproximadamente aos 30 anos de idade. Ou seja, na terceira década de vida. Após isso, existe um certo momento de equilíbrio, e, à medida que vamos envelhecendo, eles começam a se tornar mais frágeis. A medicina chama este processo de osteopenia. Dessa forma, já podemos entender um fator de risco associado à idade.
Existem ainda, doenças como a osteoporose. Trata-se de uma doença metabólica, que aumenta muito os riscos de fratura no fêmur. Entre as causas, está a baixa produção de hormônios específicos. Inclusive, sua baixa concentração atinge mais as mulheres, por conta da menopausa. Além disso, pessoas idosas tendem a sofrer mais quedas, e são o principal grupo de risco.
Fraturas do fêmur proximal
Antes de mais nada, vamos entender a anatomia do fêmur proximal. Ele é composto pela cabeça femoral, colo femoral e região trocantérica. Assim, em relação às fraturas proximais, eles podem ser dividas em intracapsulares (que envolvem o colo do fêmur), e extracapsulares.
As fraturas proximais do fêmur em idosos, representam atualmente, um sério problema dentro do contexto de saúde pública, devido aos elevados custos econômicos para o tratamento e suas consequências. Além disso, apresentam alta taxa de morbidade e mortalidade.
Segundo pesquisas, estima-se que até 2050 ocorrerão 6,5 milhões de fraturas no quadril no mundo, destacando-se aquelas da extremidade proximal do fêmur. Existe ainda a taxa de mortalidade associada para idosos, que é de 12% a 37% após um ano da ocorrência.
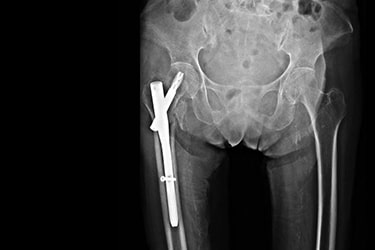
As fraturas do fêmur proximal são classificadas pela localização anatômica em 3 tipos: colo femoral, transtrocantérica e subtrocantérica. A seguir, onde elas ocorrem e o tipo de tratamento utilizado.
Fratura do colo femoral
O tratamento cirúrgico para este tipo de fratura varia entre a fixação da fratura ou a artroplastia de quadril. Existe ainda muita discussão, na comunidade médica, sobre esses dois tipos de tratamento.
Basicamente, a diferença é que na fixação, preserva-se o osso natural. Já na artroplastia, ocorre uma substituição do colo femoral por um artificial. Este último, porém, possibilita uma recuperação mais rápida do paciente e não apresenta risco de necrose da cabeça femoral ou não consolidação do osso. Ou seja, recomenda-se para pessoas idosas!
Em outras palavras, a fixação é recomendada para pessoas mais jovens. Em suma, ela consiste em colocar fragmentos ósseos em seu devido lugar até a cura.
Por fim, não existe limite de idade para a indicação das duas formas de tratamento. O que deve acontecer é o prevalecimento do bom senso. Existem pacientes com 70 anos, muitas vezes, mais ativos que pacientes com 50 anos!

Fratura Transtrocantérica
Esse tipo de fratura ocorre em uma área ricamente vascularizada e com ossos mais esponjosos. Dessa forma, uma fratura nesse local, raramente se consolida, sendo necessária a fixação para o seu tratamento! Usa-se também a artroplastia, porém, apenas em casos específicos.
Elas ainda são classificadas em fraturas estáveis e instáveis. As estáveis são aquelas em que existem 2 ou 3 fragmentos principais preservados. Geralmente, são tratadas com um instrumento chamado parafuso deslizante do quadril ou DHS (Dynamic Hip Screw). Vale salientar que podem ser tratadas também com hastes.
Fraturas subtrocantéricas
Localizam-se abaixo da região trocantérica. São bem menos frequentes que as fraturas anteriores, e costumam ocorrer em duas faixas etárias: dos 20 aos 40 anos, ou acima dos 60 anos. A cirurgia recomendada para este tipo de fratura é fixação com hastes intramedulares e parafusos. Contudo, existem situações que usam-se placas e parafusos.
Existem complicações associadas a estas cirurgias?
Complicações associadas
Sim. Existem complicações. E elas relacionam-se diretamente à fratura e a cirurgia, ou ainda a consequência indireta do tempo acamado e inatividade dos músculos. Dessa forma, temos as principais e suas consequências:
- Pseudoartrose: termo utilizado para uma fratura que não cicatrizou. Entre os principais fatores para ela acontecer estão a idade avançada, grande deslocamento e múltiplos fragmentos. Entre os principais sintomas estão dor na virilha, quadril ou coxa. O tratamento pode incluir a artroplastia.
- Necrose avascular da cabeça femoral: acontece quando vasos lesados nas fraturas do colo femoral impedem a vascularização da cabeça femoral, causando necrose óssea. Com isto, o local fica amolecido e pode deformar-se. Entre os sintomas mais comuns estão dor no quadril, região glútea e joelho.
- Tromboembolismo: trata-se de trombose profunda que ocorre em cerca de 45% dos pacientes com fratura de fêmur proximal. Sem prevenção, cerca de 8% pacientes acabam desenvolvendo embolia pulmonar. A prevenção inclui, principalmente, mobilização precoce, fisioterapia e uso de medicamentos.
- Complicações psicológicas: pacientes idosos, frequentemente, têm preocupações a respeito de morte ou se conseguirão voltar a caminhar, por exemplo. Assim, muitos acabam desenvolvendo um quadro de demência. Todos esses aspectos devem ser levados em conta no tratamento, ou seja, acompanhamento psicológico também é necessário!
Entre em contato e agende sua consulta com o cirurgião de quadril Dr Daniel Daniachi e conte com um atendimento especializado e qualificado para lesões e doenças do quadril!
AGENDE SUA CONSULTA
INFORMAÇÕES DO AUTOR:
Dr. Daniel Daniachi Ortopedista e Traumatologista especialista em cirurgia do quadrilFormado em Medicina pela Faculdade de Ciências Médicas da Santa Casa de São Paulo (FCMSCSP), possui residência médica em Ortopedia e Traumatologia pela mesma instituição de ensino e subespecialização em Cirurgia do Quadril.
Registro CRM-SP nº 117036.